부러진 치아 증상: 징후, 감각 및 치료 시기
치아가 부서지거나 금이 갔습니까?치아 부러진 증상, 감각, 미소를 지키고 합병증을 예방하기 위해 치료를 받아야 하는 시기에 대해 알아보겠습니다.

부러진 치아는 누구에게나 발생할 수 있습니다.딱딱한 것을 물거나 부상을 입거나 나이가 들거나 썩어서 치아가 약해질 수 있습니다.증상을 알면 언제 치과에 진찰을 받아야 하는지 이해하는 데 도움이 됩니다.
주요 시사점
부러진 치아 증상에 대해 알아야 할 사항은 다음과 같습니다.
- 물거나 물린 압력을 풀 때 날카롭고 간헐적인 통증
- 뜨겁거나 차갑거나 달콤한 음식 및 음료에 대한 민감성
- 혀로 느낄 수 있는 거친 모서리
- 눈에 띄는 칩, 균열 또는 변색
- 감염된 치아 근처의 부은 잇몸 또는 압통
긴급 상황: 안면 부종, 발열, 조절되지 않는 심한 통증 또는 출혈이 멈추지 않는 경우즉시 병원에 전화하거나 치과에 방문하세요.
“부러진 치아”로 간주되는 것은 무엇입니까?(직접 느끼거나 볼 수 있는 유형)
치아 골절의 종류에 따라 증상이 뚜렷하며 특별한 치료가 필요합니다.
부서진 이빨 (에나멜)
외층의 작은 조각 (에나멜) 이 부서졌습니다.혀의 가장자리가 거칠게 느껴질 수 있지만 에나멜만 영향을 받으면 통증이 없을 수 있습니다.칩이 더 깊은 층에 노출되면 온도나 단 음식에 민감해질 수 있습니다.
금이 간 치아 (갈라진 치아 증후군)
씹는 표면에서 뿌리 쪽으로 수직 균열이 흐르지만 치아가 완전히 갈라지지는 않습니다.주요 증상은 물거나 압력을 풀 때 생기는 심한 통증입니다.특히 추운 날씨에는 온도에 민감할 수도 있습니다.통증이 자주 왔다가 사라지므로 어느 치아가 영향을 받는지 구분하기가 어렵습니다.
프랙처드 커스프
이는 치아의 씹는 표면 일부가 부러 질 때 발생하며, 종종 충전재 주위에서 발생합니다.일반적으로 씹거나 물 때 통증을 느끼며 온도에 민감할 수 있습니다.해당 부위가 혀에 거칠게 느껴질 수 있습니다.
스플릿 투스
치아가 서로 다른 두 부분으로 갈라졌습니다.특히 씹을 때 심한 통증을 느낄 수 있습니다.치아가 헐거워질 수 있고 주변 잇몸이 붓는 것을 느낄 수 있습니다.이 경우 즉각적인 치료가 필요합니다.
수직 루트 골절
뿌리에서 시작하여 위쪽으로 확장되는 균열.이러한 골절은 즉각적인 증상을 유발하지 않는 경우가 많지만 결국에는 감염으로 이어질 수 있습니다.징후에는 씹고 부을 때 가벼운 통증이 나타나거나 치아 근처의 잇몸에 여드름 같은 돌기가 생기는 것이 포함됩니다.
크레이즈 라인 (무해)
이들은 에나멜에만 영향을 미치는 작고 표면적인 균열입니다.성인 치아에서 흔히 발생하며 일반적으로 증상을 일으키지 않습니다.치아 문제라기보다는 미용상의 문제가 더 큽니다.

부러진 치아 증상이 실제로 느껴지는 느낌 (통증 및 감각)
부러진 치아로 인한 통증은 거의 눈에 띄지 않는 것부터 심각한 것까지 다양합니다.다양한 유형의 통증을 이해하면 치과의사와 더 잘 소통할 수 있습니다.
샤프 vs 욱신 거림 vs 둔한 느낌: 각각의 일반적인 의미
- 날카로운 통증 일반적으로 치아를 물거나 온도 변화에 노출시킬 때 신경을 자극하는 신선한 균열이나 칩을 나타냅니다.짧지만 강렬할 때가 많습니다.
- 욱신거리는 통증 박테리아가 펄프 (신경 중심) 에 도달했기 때문에 염증이 발생했음을 나타냅니다.이는 더 심각하며 감염을 의미할 수 있습니다.
- 지루한 고통 치아 주위의 인대에 염증이 있거나 신경이 죽어가고 있음을 의미할 수 있습니다.간헐적이기보다는 지속되는 경우가 많습니다.
“물린 때 통증”과 “풀림 시 통증”에 대한 설명
금이 간 치아의 특징적인 증상은 물린 압력을 풀 때 발생하는 통증입니다.이는 다음과 같은 이유로 발생합니다.
- 물면 균열이 약간 닫혀 펄프 조직이 꼬일 수 있습니다.
- 손을 떼면 균열이 열리고 유체가 움직여 신경 종말을 자극합니다.
온도 및 감미료 민감도
- 추위 민감도 (빠른 징징): 이는 일반적으로 상아질이 노출되어 있거나 균열이 체액 이동을 허용하여 신경을 촉발한다는 것을 나타냅니다.냉기 자극을 제거한 후 통증이 빠르게 사라진다면 신경은 자극을 받았지만 건강한 상태일 수 있습니다.
- 열 민감도 (지속적인 통증): 이는 종종 펄프에 염증이 있거나 감염되었음을 나타내기 때문에 더욱 우려됩니다.감기보다 열로 치아가 더 오래 아프면 신경이 죽어가고 있는 것일 수 있습니다.
- 달콤한 민감성: 이는 상아질 세관이 노출되어 당질 물질이 신경 말단에 도달할 수 있음을 시사합니다.이는 칩이나 균열, 잇몸이 물러지는 경우 발생합니다.
압력 민감도 대 타악기 부드러움
- 압력 민감도 물거나 힘을 가할 때 통증이 느껴지는 것을 말합니다.이는 일반적으로 압력을 받아 움직이는 균열이나 골절을 나타냅니다.
- 타악기의 부드러움 (치아를 두드릴 때의 통증) 은 뿌리 끝에 인대 염증이나 감염이 있음을 나타냅니다.두드리는 것이 씹는 것보다 아프면 농양이 생긴 것일 수 있습니다.
금이 간 치아가 무작위로 아플 수 있는 이유는 무엇입니까?
갈라진 치아는 균열이 다양한 압력으로 열리고 닫히기 때문에 종종 예측할 수 없는 통증을 유발합니다.적당한 각도로 무언가를 물면 통증이 유발되고, 잠시 후 불편함 없이 같은 음식을 먹을 수 있습니다.이 패턴은
구멍이 난 것이 아니라 균열의 흔적입니다.
거울에서 볼 수 있는 것
(가시 및 촉각 표지판)
시각 및 물리적 단서는 통증을 느끼기 전에도 부러진 치아를 식별하는 데 도움이 될 수 있습니다.
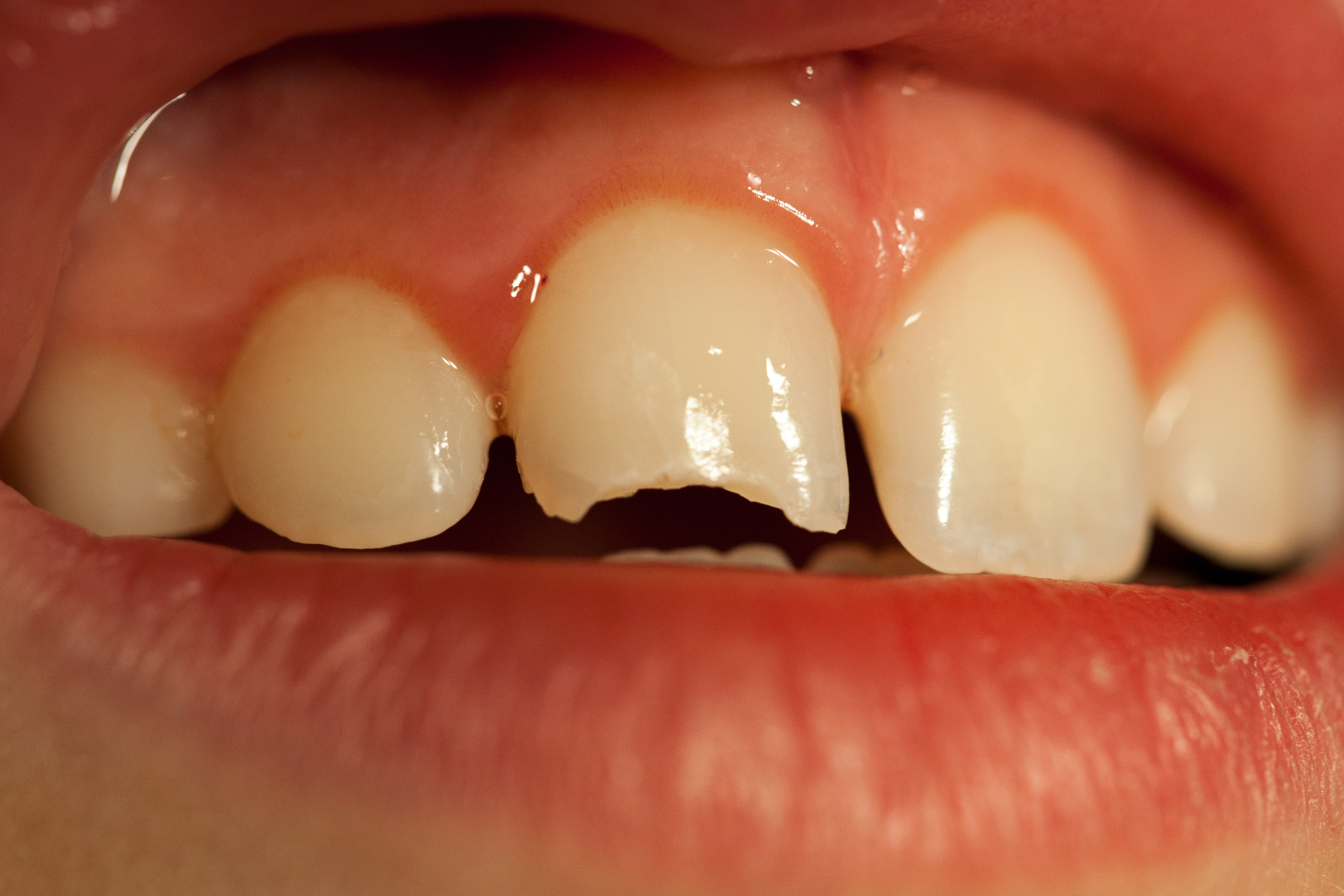
칩 및 들쭉날쭉한 모서리
부러진 치아의 가장 명백한 징후는 눈에 띄는 칩이나 들쭉날쭉한 가장자리입니다.혀를 이빨에 대십시오.칩은 거칠거나 날카로우며 때로는 뺨이나 혀에 걸리기도 합니다.앞니 칩은 쉽게 발견할 수 있지만 뒷니 손상에는 손상이 필요할 수 있습니다.
거울 또는 치과 검사를 통해 명확하게 볼 수 있습니다.
보이지 않을 수도 있는 헤어라인 균열
많은 균열이 육안으로는 거의 보이지 않습니다.특히 커피, 차 또는 담배로 얼룩진 경우 치아 표면에 희미한 선으로 나타날 수 있습니다.치과의사는 균열이 잘 보이도록 특수 조명과 염료를 사용하지만 확대하지 않으면 미세 골절을 놓칠 수 있습니다.
외상 후 치아 색 변화
외상이나 심한 균열이 생긴 치아는 부상 후 몇 주 또는 몇 달 후에 색이 변할 수 있습니다.회색 또는 푸르스름한 색조는 치아 내부의 신경이 손상되거나 죽어가고 있음을 나타냅니다. 이는 근본적으로 치아 내부의 타박상입니다.노란색 또는 갈색 반점이 나타날 수 있습니다.
칩이나 균열로 인해 노출된 상아질을 나타냅니다.
잇몸 변화: 국소 부종, 여드름/누공, 깊은 주머니 1개
부러진 것으로 의심되는 치아 주변의 잇몸에 주의를 기울이십시오.한쪽 치아 근처에 국소적으로 부어오르거나 붉어지는 것은 균열로 인한 감염으로 세균이 침투한 경우가 많습니다.잇몸에 작은 여드름 모양의 돌기 (누공이라고 함) 는 잇몸을 통해 감염이 빠져나가는 만성 농양의 징후입니다.
심각도 및 진행 (항상 악화되나요?)
모든 치아 골절이 동일한 속도로 진행되거나 동일한 결과로 진행되는 것은 아닙니다.
기다리면 발생하는 경향 (크랙 전파)
뼈와 달리 치아는 스스로 치료할 수 없습니다.한 번 생긴 균열은 자연적으로 회복되지 않습니다.대신, 씹는 힘이 반복적으로 갈라진 부위에 스트레스를 주기 때문에 시간이 지날수록 증상이 악화되는 경우가 많습니다.작은 에나멜 균열은 상아질까지 확장되어 결국 치수까지 도달하여 통증과 민감도를 증가시킬 수 있습니다.
한 연구에 따르면 치료하지 않은 균열은 치아의 갈기, 씹는 습관, 치아 위치와 같은 요인이 진행에 영향을 미치기 때문에 다양한 속도로 확장될 수 있습니다.뒷니는 씹는 힘이 클수록 균열이 더 빨리 퍼지는 경우가 많습니다.
상황이 얼마나 빠르게 확대될 수 있는가
타임라인은 다음과 같은 여러 요인에 따라 크게 달라집니다.
시간-일: 심각한 외상성 부상이나 급성 분열은 급속히 악화되어 즉각적인 통증을 유발하고 응급 치료가 필요할 수 있습니다.
주-월: 대부분의 균열은 점진적으로 진행되며 증상은 점차 악화됩니다.악화를 가속화하는 위험 요인은 다음과 같습니다.
- 치아 연마 또는 움켜 쥐기
- 치아 구조를 약화시키는 기존의 대형 충전재
- 이전 근관 치료 (치아가 더 부서지기 쉬움)
- 극심한 온도 변화 (뜨거운 커피와 얼음물)
- 딱딱한 음식이나 물건을 씹는 행위
연도: 일부 미세한 균열, 특히 크레이즈 라인은 문제를 일으키지 않고 몇 년 동안 안정적으로 유지될 수 있습니다.

합병증: 치수염 → 농양 → 안면 부종/봉와직염
치료하지 않고 방치하면 일반적으로 다음과 같은 과정을 따라 치아에 금이 갑니다.
- 초기 균열 - 무증상이거나 경미한 민감성을 유발할 수 있음
- 치수염 (신경 염증) - 통증 및 온도에 대한 민감성 증가
- 펄프 괴사 (신경의 죽음) - 통증이 일시적으로 줄어들 수 있음
- 근단 주변 농양 - 뿌리 끝에 감염이 발생하여 지속적인 통증과 잇몸 부종을 유발합니다.
- 감염 확산 - 심한 경우 감염이 안면 공간으로 퍼져 심각한 부기, 발열을 유발하고 긴급한 치료가 필요할 수 있습니다.
닮은꼴 및 일반적인 혼란
치아 통증에는 여러 가지 원인이 있을 수 있습니다.치아가 부러졌을 때 나타나는 증상과 비슷할 수 있는 일반적인 문제를 구분하는 방법은 다음과 같습니다.
캐비티 vs 크랙
충치는 일반적으로 단 음식이나 차가운 음식에 노출된 후 통증이 오래 지속되며 눈에 띄는 검은 반점으로 나타납니다.균열은 날카롭고 예측할 수 없는 통증을 유발합니다. 특히 눈에 보이지 않는 상태에서 물린 압력을 풀 때 더욱 그렇습니다. 부패.“바이트 테스트” 결과, 치아의 특정 부위를 물었을 때 통증이 발생하면 (특히 치아를 풀 때), 이는 충치보다 균열이 있을 가능성이 더 높다는 것을 알 수 있습니다.
부비동 통증 대 상부 어금니 균열
부비동 관련 통증은 여러 개의 윗니에 동시에 영향을 미치며 몸을 굽히거나 누울 때 악화됩니다.보통 코막힘을 동반하며 심한 통증보다는 둔하고 지속적인 압박감을 느끼게 됩니다.반대로 갈라진 치아 통증은 일반적으로 한 치아에만 영향을 미치며, 깨물거나 체온 변화에 의해 유발되며, 극심하고 국소적인 불편감으로 나타납니다.
TMJ/브룩시즘 vs 크랙드 커스프
TMJ 장애 이를 갈면 여러 개의 치아 또는 턱 전체에 통증이 생기며, 아침 두통과 턱 관절이 딸깍 거리는 경우가 많습니다.증상은 스트레스를 받으면 악화되는 경향이 있으며 귀나 목까지 퍼질 수 있습니다.교두가 갈라지면 특정 유발 지점이 있는 치아에만 통증이 나타나며, 이로 인해 냉증 민감도가 제한되어 눈에 띄는 손상이 나타날 수 있습니다.
그 이빨.
삼차 신경통
이 희귀한 신경 질환은 극도로 강렬하지만 짧은 전기 쇼크와 같은 안면 통증을 유발하며 단 몇 초 동안 지속됩니다.일반적으로 뺨이나 턱의 패턴을 따라 얼굴을 가볍게 만지거나, 이를 닦거나, 찬 공기를 마시면 통증이 유발됩니다.환자는 발작 사이에 통증이 없는 기간을 경험하며, 치과 검진 결과 증상의 뚜렷한 원인이 밝혀지지 않습니다.
다음과 같은 경우 즉시 치과 의사에게 연락하십시오.
- 물거나 온도가 변할 때 간헐적으로 통증이 있는 경우
- 통증이 없어도 눈에 띄는 칩이나 균열이 나타납니다.
- 치아가 거칠거나 들쭉날쭉한 느낌
- 치아 색깔이 변하는 것을 알 수 있습니다
- 치아 근처에서 가벼운 잇몸 부종이 발생합니다.
- 음식은 새로운 지역에서 자주 잡힙니다.
이러한 증상은 곧 치료가 필요한 문제를 나타냅니다.근무 시간 중에 전화하여 가능한 첫 번째 약속을 잡으십시오.
다음과 같은 경우 지금 긴급/응급 진료로 가십시오.
- 안면 부종이 있는 경우 (특히 눈에 번지거나 눈에 영향을 미치는 경우)
- 치아 통증과 함께 발열, 권태감 또는 삼키기 곤란이 있는 경우
- 외상 후 중증의 통제되지 않는 출혈이 발생합니다.
- 극심하고 지속적인 통증은 수면이나 정상적인 활동을 방해합니다.
- 치아가 완전히 빠지거나 심하게 변위된 경우
- 큰 치아 조각이 부러져 내부 펄프가 노출됩니다.
- 부상 후 치아가 반으로 갈라지거나 매우 헐렁한 느낌
이러한 증상은 즉각적인 치료가 필요한 잠재적 응급 상황을 나타냅니다.
부러진 치아 증상에 대한 FAQ
부서진 치아 때문에 치과 의사를 만나기 전에 얼마나 기다려야 하나요?
통증이나 민감성이 없는 경미한 칩은 며칠이 걸릴 수 있지만 일주일 이내에 예약하는 것이 가장 좋습니다.칩이 크거나 불편함을 유발하는 칩은 1~2일 이내에 진찰을 받아야 합니다.
미백이 균열을 악화시키나요?
화이트닝은 구조적으로 균열을 악화시키지는 않지만 대비를 강조하여 균열을 더 잘 보이게 할 수 있습니다.일부 미백 제품은 균열이 있는 치아의 민감도를 높일 수 있습니다.균열이 의심되는 경우 미백 전에 항상 치과 의사와 상담하십시오.
크라운 아래에 균열이 퍼질 수 있습니까?
안타깝게도 그렇습니다.그러는 동안 크라운 치아의 눈에 보이는 부분을 보호해 줍니다. 특히 크라운을 삽입하기 전에 생긴 균열은 크라운 가장자리 아래까지 계속 퍼질 수 있습니다.그렇기 때문에 균열을 조기에 발견하고 치료하는 것이 중요합니다.
부러진 치아가 두통을 유발하는 것이 정상입니까?
네, 치아 통증은 머리에 가해져 두통을 유발할 수 있습니다. 특히 이가 부러지지 않도록 꽉 쥐거나 물린 부위를 바꾸는 경우 더욱 그렇습니다.일시적인 두통 (관자놀이) 과 긴장성 두통은 치아 문제와 관련이 있습니다.
결론
부러진 치아는 부서지거나 금이 가거나 골절된 경우 전문가의 주의가 필요합니다.증상을 이해하면 치료가 더 간단하고 성공적일 때 문제를 조기에 알아차릴 수 있습니다.
치아가 부러진 것으로 의심되면 즉시 저희 사무실로 연락하십시오.조기 개입은 불편함을 덜어줄 뿐만 아니라 자연 치아를 살리는 것과 치아를 제거해야 하는 것의 차이를 의미할 수 있습니다.





